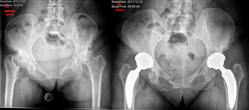
Hüftchirurgie am LKH Graz: Minimalinvasive Hüftendoprothetik
Bei operationspflichtiger Abnützung des Hüftgelenkes wird die Implantation eines künstlichen Hüftgelenkersatzes durchgeführt. Die dabei verwendete OP-Technik ist minimal invasiv, d.h. dass durch die Operation keine Muskeln durchtrennt werden. Die einzelnen Muskeln werden während der Operation wie Jalousielamellen auseinandergehalten. Dadurch wird eine rasche Mobilisierung nach der Operation möglich. Im Idealfall können Sie bereits am ersten Tag nach der Operation mit physiotherapeutischer Hilfe unter Vollbelastung gehen. Die Verankerung der Prothesenteile erfolgt in den meisten Fällen zementfrei.
Die am häufigsten eingesetzte Gleitpaarung ist Keramik-Keramik. Bei passender Form und Knochenqualität des Oberschenkelknochens besteht die Möglichkeit, einen Kurzschaft zu implantieren. Die unmittelbaren Vorteile eines Kurzschaftsystemes liegen in einer noch knochensparenderen und muskelschonenderen Implantationsmöglichkeit sowie einer physiologischen Krafteinleitung in den Knochen. Ob diese Vorteile auch im Langzeitverlauf gelten, ist derzeit Gegenstand wissenschaftlicher Forschung. Die kurz- und mittelfristigen Ergebnisse sind aber durchaus vergleichbar mit Standardschäften.
-
Revisionsoperationen nach Hüftendoprothesen
-
Gelenkserhaltende Impingementchirurgie an der Hüfte „mini-open“